uCT ATLAS


Attainable Intelligence. Simply Masterful.​

The uCT ATLAS is an ultra-premium CT scanner with z-axis coverage of up to 16 cm and up to 640-slices per rotation. The uCT ATLAS features a 0.25s rotation speed, an 82 cm ultra-wide bore and 700 lbs. table weight capacity to accommodate all types of patients, including bariatric. Born with AI, this system features the uAI® Vision 3D camera and utilizes industry-leading AI-empowered technologies throughout the system, offering precise imaging and ease of use for routine to advanced applications, including cardiac, acute care and trauma. ​


Imaging with Quality ​

The uCT ATLAS is optimized for exceptional image quality at a low dose. The uCT ATLAS is ultra-fast, with a rotation speed of 0.25 seconds, and it offers remarkable spatial resolution for ultra high-resolution diagnostic CT images.​


Imaging with Ease

Born with AI, the uCT ATLAS features the innovative uAI Vision 3D camera that enables an AI-empowered workflow. The uAI Vision provides an efficient, standardized and personalized scanning experience for each patient.


Imaging that Covers It All

The uCT ATLAS features an ultra-wide 82 cm bore, a 700 lbs. table weight capacity along with robust clinical solutions to image a wide range of patient and exam types including advanced cardiac, acute care and trauma.

Clinical Application

One-Beat Cardiac Scan Severe Arrhythmia 50-215 bpm

One-Beat Cardiac Scan Combined with Fast Helical CTA Scan

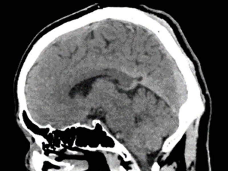
Half-Second Full Brain

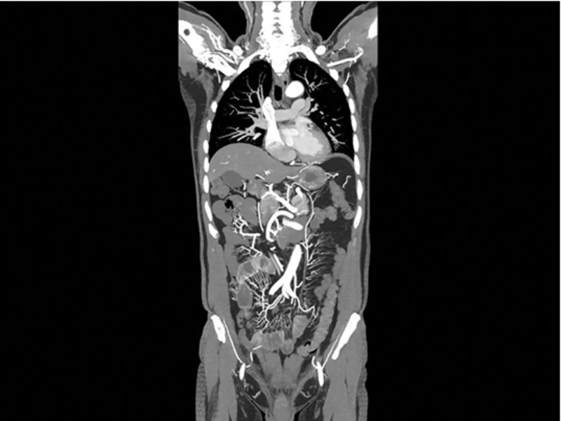
VRT of Abdomen

2 mm MIP

Features & Benefits

Robust Imaging Chain

The uCT ATKAS is built in the foundation of the Z-Detector technology which reduces electronic noise down to a single photon level, improving the signal-to-noise ratio (SNR) and providing more detailed images. The system-to-noise ratio (SNR) and providing more detailed images. the system also features a one-piece casted gantry structure integrated with a direct drive motor system that provides precise rotation speed control, enabling a 0.25s rotation speed and exceptional temporal resolution.

AI-Empowered Workflow Simplified

The AI-empowered workflow includes intelligent positioning, scanning and processing. The uAI Vision 3D camera enables single-click precise patient positioning for both isocenter and horizontal range, enabling easy and reproducible positioning.

Masterful Image Reconstruction

uAI AI-IR significantly reduces image noise and artifacts, while at the same time greatly improves low contrast detectability and spatial resolution. Enhanced spatial resolution can also be achieved through the combination of the 0.5 mm collimation and 1024*1024 reconstruction matrix to help reveal the smallest of detailed for the most challenging examinations.

Excellence in Cardiac Imaging

Designed to make coronary CTA imaging more robust than ever, the uCT ATLAS is engineered with 0.25s rotation speed, unprecedented 25 ms effective temporal resolution enabled with uAI CardioCapture and an intelligent cardiac workflow.